Адгезивный капсулит плечевого сустава: симптомы, диагностика и лечение
Капсулит – это хроническое заболевание плечевого сустава, при котором поражается суставная капсула. Для патологии характерно развитие нейродистрофических нарушений в периартикулярных тканях. В результате капсула и синовиальная оболочка подвергаются фиброзу, что ведет к их сморщиванию и уменьшению объема суставной полости.
У лиц с капсулитом плечевого сустава при артроскопии врачи нередко выявляют признаки воспаления (синовита). Воспалительный процесс имеет вялое течение, а характер его взаимосвязи с фиброзом пока не установлен.
Патофизиологические изменения при капсулите:
- укорочение капсулярных коллагеновых волокон;
- жировая инфильтрация суставной капсулы;
- атрофические изменения связок плечевого сустава.
Немного истории
Впервые болезнь описал Duplay в 1882 году. Он ввел в клиническую практику термин «плечелопаточный периартрит», который долго использовали для обозначения всех периартикулярных заболеваний. Им без разбора называли любой воспалительный процесс в области плечевого сустава.
О диагнозе «плечелопаточный периартрит» негативно отзывались многие ученые и врачи. В 1959 году Pender назвал его «мусорной корзиной», в которую врачи сваливают все сомнительные случаи болей в плечевом суставе.
В 1932 году Codman предложил обозначать капсулит термином «замороженное плечо». Это название лучше всего характеризует симптомы заболевания. Главный признак патологии – это безболезненное ограничение подвижности плеча. Современный термин «адгезивный капсулит плечевого сустава» предложил Naviesar в 1945 году. Под этим названием болезнь сегодня фигурирует в МКБ-10.
Статистика
Капсулит – это наиболее частое воспалительное заболевание плеча. По статистике, им страдает около 3-5% населения развитых стран. Патологию чаще всего выявляют у больных с сахарным диабетом. Распространенность адгезивного капсулита среди пациентов данной группы составляет 16-36%.
Любопытные статистические данные:
- чаще всего от болезни страдают лица в возрасте 50-70 лет. Что касается вторичного капсулита, он может развиваться и у людей моложе 40 лет;
- по статистике, женщины страдают капсулитом чаще мужчин. Примерное соотношение между заболевшими – 3:1-5:1;
- в 7-10% случаев при капсулите поражаются оба плеча. Плечевые суставы у человека воспаляются с интервалом в 6 месяцев — 5 лет;
- ряд авторов утверждает, что болезнь излечивается в течение 1-3 лет. Однако на практике 20-50% заболевших испытывает ограничение подвижности плеча на протяжении 10 лет;
- после выздоровления у 10% пациентов остаются незначительные боли и ограничение подвижности плеча. Среди лиц с сахарным диабетом остаточные явления встречаются чаще – в 85% случаев.
Рецидивы адгезивного капсулита в клинической практике встречаются редко. После выздоровления «пострадавший» сустав вряд ли воспалится повторно.
Классификация
В зависимости от причин и механизма развития выделяют первичный, или идиопатический, и вторичный капсулит. Давайте посмотрим, чем они отличаются.
Таблица 1. Сравнительная характеристика разных видов капсулита
|
Идиопатический |
Вторичный |
|
| Причины | Развивается медленно, но спонтанно и без видимой причины | Возникает на фоне диабета, гипо- или гипертиреоза. Может может развиваться после травм плеча, хирургических вмешательств на сердце или ЦНС |
| Течение | Манифестирует постепенно, имеет вялое течение | После падений, ушибов и операций симптомы проявляются быстро. У лиц с диабетом болезнь развивается медленно |
| Особенности лечения | Больным назначают комплексное лечение, направленное на борьбу с воспалением и фиброзом | В первую очередь, диагностируют и лечат заболевание, которое спровоцировало развитие капсулита. Параллельно с этим больным проводят лечение капсулита |
Особенности течения болезни
В своем развитии адгезивный капсулит проходит три последовательные фазы. Для каждой из них характерна своя клиническая картина. Впервые приведенную классификацию заболевания предложил Reeves в 1975 году.
Фазы развития капсулита:
- «Замораживание». Длится от трех до девяти месяцев. В этот период у человека появляются первые симптомы капсулита плечевого сустава. Его беспокоят неопределенные боли в плече, которые усиливаются в ночное время. Наиболее интенсивны они в самом начале. Через 2-3 недели человеку становится легче и он решает, что выздоровел. Больной прекращает лечиться, а капсулит развивается дальше.
- «Замороженное плечо». Продолжается от четырех месяцев до одного года. В это время у пациента полностью исчезают любые боли. На смену им приходит патологическая скованность в плече. Больному становится трудно двигать верхней конечностью. Сложнее всего ему дается наружная ротация, немного легче – передняя и внутренняя ротация.
- «Оттаивание». Длится от одного до четырех лет. В этот период объем движений в плече постепенно увеличивается. В большинстве случаев подвижность плечевого сустава полностью восстанавливается. Однако некоторых больных после выздоровления может беспокоить остаточная потеря объема движений, но она не мешает им вести привычный образ жизни.
Во время лечения пациентов с адгезивным капсулитом практикующие врачи обнаружили интересную закономерность. Оказывается, что чем дольше у пациента длится болевая фаза – тем дольше протекает и фаза выздоровления.
Диагностика заболевания
Диагноз обычно ставят методом исключения. Вначале врачи ищут у больного травматические повреждения плеча, разрывы вращательной манжеты, субакромиальный бурсит, нейропатии. Если врачи не обнаруживают этих заболеваний, человеку выставляют диагноз «адгезивный капсулит». При воспалении капсулы у больных выявляют гипотрофию дельтовидной мышцы. Этот симптом неспецифичен, то есть может указывать на многие заболевания плечевого сустава.
Методы исследования при боли в плече:
- рентгенография. Необходима для исключения переломов, вывихов и деформирующего артроза. У некоторых пациентов с длительнотекущим капсулитом на рентгенограммах выявляют признаки остеопороза. Причина его развития – продолжительная иммобилизация сустава;
- ультразвуковое исследование (УЗИ). Малоинформативно в диагностике капсулита. В ходе обследования врачи могут выявлять фиброзные изменения суставной капсулы и отек сухожилий ротаторной манжеты плеча. Однако эти признаки неспецифичны. Они могут указывать как на капсулит, так и на обычный тендинит;
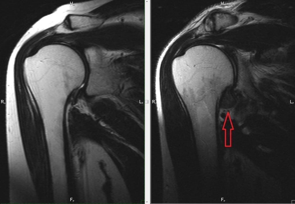
- магнитно-резонансная томография (МРТ). Более информативный диагностический метод. С его помощью можно обнаружить специфичное для болезни утолщение суставной капсулы. Однако из-за высокой стоимости МРТ практически не используют для диагностики капсулита;
- артрография. Единственный метод, позволяющий подтвердить диагноз. С его помощью выявляют достоверные признаки капсулита – уменьшение объема синовиальной полости и исчезновение аксиллярного кармана. Из-за высокой инвазивности в клинической практике артрографию применяют редко. Врачи обычно диагностируют капсулит и без этого исследования.
Диагностические критерии адгезивного капсулита:
- Медленное начало заболевания.
- Наличие болей на протяжении как минимум 3 месяцев.
- Усиление неприятных ощущений при движениях в плече-лопаточной области.
- Ночной характер болей.
- Отсутствие на рентгенограмме признаков других заболеваний плечевого сустава.
Как лечить капсулит плечевого сустава
Тактика лечения патологии отличается на разных фазах. Поскольку в периоде «замораживания» человека больше всего беспокоят боли и явления синовита, ему назначают обезболивающие и противовоспалительные средства. Больному рекомендуют ограничивать нагрузку на плечевой сустав. При ярко выраженном болевом синдроме на руку надевают косыночную повязку. Человек носит ее по несколько часов в день.
В фазе «замороженного плеча» на первое место выходит лечебная физкультура и физиопроцедуры. Они помогают справиться со скованностью и восстановить нормальный объем движений в плече.
Нестероидные противовоспалительные средства
НПВС – это препараты первого ряда в лечении адгезивного капсулита. Они купируют боль и воспаление плеча, которые появляются в начале заболевания.
Однако в литературе пока что нет достоверных данных о влиянии НПВС на естественное течение болезни. Эти лекарства оказывают симптоматическое действие, а применять их есть смысл только для борьбы с болевым синдромом.
Нестероидные противовоспалительные средства вызывают массу побочных эффектов. Их прием может приводить к развитию осложнений со стороны пищеварительной и сердечно-сосудистой систем. Используйте эти препараты очень осторожно. Это особенно важно для лиц старшей возрастной категории.
Кортикостероиды
Согласно результатам клинических исследований, стероидные гормоны облегчают боль в первой фазе заболевания, однако оказывают кратковременный эффект. Лекарства данной группы назначают, когда нужно добиться срочного улучшения самочувствия.
Для лечения адгезивного капсулита плечевого сустава обычно используют локальную стероидную терапию. Препараты вводят в синовиальную полость под контролем УЗИ. При выполнении инъекций слепым методом врачи «промахиваются» в 60%. Естественно, это приводит к худшим клиническим результатам.
У большинства пациентов после введения стероидных гормонов облегчение длится 2-3 недели. Таким больным после ухудшения самочувствия манипуляцию выполняют повторно. Уколы делают с интервалом в 2-4 недели. Курс лечения состоит из 2-3 инъекций.
Гиалуронат натрия
Внутрисуставное введение препарата значительно уменьшает болевой синдром и улучшает функции плечевого сустава. По силе действия гиалуронат не уступает кортикостероидам, однако вызывает меньше побочных эффектов. В клинической практике лекарство пока что практически не используют из-за слабой доказательной базы.
Агрессивная реабилитационная тактика
В борьбе со скованностью в плече наиболее эффективен низконагрузочный длительный режим растяжения тканей. Существуют тренажеры, позволяющие осуществить дозированное и безопасное растяжение суставной капсулы. Манипуляции выполняют в реабилитационных кабинетах под контролем специалистов.
Для борьбы с тугоподвижностью плеча можно использовать лечебную физкультуру. Желательно, чтобы комплекс упражнений подбирал врач-реабилитолог. Специалист обучит пациента технике и режиму занятий. В последующем человек выполняет упражнения самостоятельно, в домашних условиях.
Цели лечебной гимнастики:
- расслабление мышц плечевого пояса;
- увеличение амплитуды движений в плече;
- щадящее растяжение мышц.
Чтобы добиться улучшения, заниматься необходимо ежедневно, по несколько раз в день. Лечебную гимнастику нужно совмещать с физиотерапевтическими процедурами и мануальной терапией.
Физиотерапия
В комплексное лечение капсулита нередко включают лекарственный электрофорез, УЗ-прогревание, синусоидально модулированные токи, озокеритовые или парафиновые аппликации на область плечевого сустава. Эти процедуры помогают быстрее избавиться от скованности и восстановить нормальный объем движений.
Артроскопия
Артроскопические вмешательства используют для лечения резистентных форм капсулита. Их выполняют, если не удается добиться улучшения консервативной терапией. Перед артроскопией больному необходимо попробовать несколько нехирургических методов лечения.
В тяжелых случаях пациентам с капсулитом требуется открытое хирургическое вмешательство, но оно сопряжено со многими трудностями и осложнениями.
Сложности лечения капсулита у лиц с сахарным диабетом
Из-за влияния на углеводный обмен диабетикам не рекомендуется использовать кортикостероиды. Если лекарства данной группы все же назначили – применять их нужно осторожно. Во время лечения стероидными гормонами пациентам требуется адекватная сахароснижающая терапия и тщательный контроль гликемии (уровня глюкозы в крови).
У лиц с диабетом очень медленно заживают любые раны. Это существенно затрудняет выполнение операций на плечевом суставе. Восстановительный период у таких больных длится намного дольше, а осложнения возникают чаще.
Адекватный контроль гликемии у больных с сахарным диабетом снижает риск развития капсулита или ускоряет выздоровление, если болезнь уже появилась.
Похожие статьи









