Лечение и очищение суставов рисом: народные рецепты для домашнего использования
Рис – один из самых древних и ценных злаков. В его химическом составе присутствует огромное количество питательных и биологически активных веществ. Поэтому злак используется народной медициной для лечения различных патологий, в том числе болезней суставов и опорно-двигательного аппарата. Народные целители практикуют очищение суставов рисом, способствующее улучшению их состояния, повышению функциональной активности. Удаление вредных солей, шлаков, токсинов проводится при артритах, артрозах, остеохондрозах различной локализации (шейного, грудного, поясничного отделов позвоночника).
Представители официальной медицины — ортопеды, ревматологи, неврологи — скептически относятся к этому методу терапии и профилактики. Поэтому перед проведением лечебных процедур следует обсудить с врачом целесообразность и безопасность такого способа очищения коленных, локтевых, тазобедренных и других суставов.
Полезные рецепты
Для очищения лучше не использовать белый рис, так как при ежедневном его употреблении возрастает риск запоров и формирования камней в почках. Нужно запастись бурым злаком, в котором содержится огромное количество ценных биоактивных веществ. В Интернете можно найти способы чистки, рассчитанные на несколько месяцев. Но долгие мероприятия провоцируют нарушение работы пищеварительного тракта и гибель полезной микрофлоры кишечника. Оптимальная длительность очищения — 2-4 недели.
Каша
Залить 100 г риса холодной кипяченой водой (1:3) и оставить на 2 суток в прохладном темном месте. Затем крупу промыть, добавить свежей воды и томить на медленном огне 15-20 минут после закипания. Получившуюся густую вязкую кашу разделить на 3-4 части и съесть без соли, масла, сахара в течение дня. Для улучшения вкуса можно добавить немного овощного сока из свеклы, моркови или чайную ложку меда из липового цвета, гречихи, разнотравья.
Процедуру очищения повторять через три дня на протяжении 4 недель. Людям с избыточной массой тела в день чистки рекомендуется не употреблять другой пищи, кроме рисовой каши.
Квас
В емкость из темного стекла объемом 1,5 л влить литр воды, добавить 10-15 штук светлого изюма, по 100 г сахара и промытой рисовой крупы. Банку поместить в темное теплое место и настаивать 7-10 дней. Затем полученную беловатую жидкость профильтровать и принимать после еды по полстакана 3-4 раза в день. Длительность курса очищения — 1 месяц.
Сырая крупа
Дневную порцию риса нужно подготовить заранее. Залить 3 столовые ложки крупы 50 мл (примерно четверть стакана) холодной кипяченой воды и оставить на сутки. Жидкость слить, заменив ее чистой водой. Одновременно приготовить новую порцию крупы в другой емкости. К концу 5 дня в прохладном месте должно находиться пять банок. На следующее утро нужно съесть, тщательно пережевывая, первую порцию и сразу приготовить новую. Весь курс очищения занимает 4 недели.
Нуждаются ли суставы в очищении рисом
На этот вопрос может ответить только ортопед или ревматолог после тщательного обследования пациента, изучения результатов инструментальных и лабораторных анализов. Человек принимает боль в суставах, их утреннюю припухлость и скованность движений за признаки отложения солей. На самом деле, это симптомы дегенеративно-дистрофических патологий, медленно развивающихся в организме. Поэтому при появлении одного из них, даже пока слабо выраженного, следует немедленно обратиться к врачу, а не пытаться вывести из суставов соли, которых там нет.
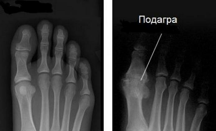
Термином «отложение солей в суставах» обозначают подагру с ее болезненными приступами. Для патологии характерно накопление в фалангах, локтях, голеностопах, коленях солей мочевой кислоты.
При повышении концентрации запускаются процессы кристаллизации с образованием мелких конкрементов-уратов. Они раздражают суставные структуры, провоцируют развитие острых или хронических воспалительных процессов. Рис при подагре полезен, но как часть лечебной диеты. Его употребление оказывает разноплановое действие на организм больного:
- улучшает работу головного мозга, укрепляет нервную и периферическую нервную систему за счет восполнения запасов витаминов группы B;
- повышает функциональную активность сердечно-сосудистой системы, нормализует проницаемость кровеносных сосудов;
- стабилизирует процессы метаболизма.
Но полностью очистить пораженные подагрой суставы рисом не удастся. Эта тяжелая патология стремительно прогрессирует без соблюдения строгой лечебной диеты и длительного курсового (нередко пожизненного) приема препаратов, выводящих из организма мочевую кислоту и ее соли. В рисе много пектинов, впитывающих, словно губка, находящиеся рядом вещества. А это не всегда шлаки или токсины, но и накапливающиеся в организме ингредиенты лекарственных средств.
В каких случаях рис полезен для суставов
Нередко значение зашлакованности суставов сильно преувеличивается. Накопление уратов происходит только при подагре или других, очень редко встречающихся патологиях. Остальные соли, поступающие в организм или вырабатывающиеся в результате протекающих в нем биохимических реакций, быстро эвакуируются с мочой и каловыми массами. Кальцификаты (отложения кальция) на рентгенологических изображениях отображаются у больных с воспалительными или дегенеративно-дистрофическими патологиями 2 или 3 степени тяжести:
- ревматоидными, реактивными, псориатическими артритами;
- деформирующими остеоартрозами;
- грудным, шейным, пояснично-крестцовым остеохондрозом.
Кальций также откладывается в сухожилиях и их влагалищах, что становится одним из диагностических признаков тендинита или тендовагинита. Но это именно рентгенологический признак, следствие, а не причина развития заболеваний. Поэтому пытаться очистить суставы рисом целесообразно только пациентам с уже диагностированными патологиями. Как поможет его употребление больному:
- способствует снижению массы тела за счет долгого насыщения. Лишний вес провоцирует избыточные нагрузки на суставы и преждевременное истончение, изнашивание гиалиновых хрящей;
- стимулирует кровообращение в пораженных заболеванием сочленениях благодаря улучшению состояния вен, артерий, капилляров, выведению из них вредных триглицеридов;
- нормализует работу пищеварительного тракта, восстановит баланс кишечной микрофлоры — важнейшего фактора хорошего иммунитета.
Во время очищения суставов рисом человек чаще опорожняет мочевой пузырь. Это устраняет отечность, всегда сопутствующую коксартрозу, гонартрозу, всем видам артрита.
Практиковать очищение суставов рисом здоровому человеку нецелесообразно. Однако, добавив его в ежедневное меню, возможно нормализовать вес, улучшить память и концентрацию внимания.
| Питательные и биологически активные вещества из химического состава риса | Терапевтическое действие и полезные свойства для суставов |
| Белки, углеводы, небольшое количество жиров | Питательные вещества участвуют в биохимических процессах, необходимых для активного функционирования всех систем жизнедеятельности организма, в том числе опорно-двигательного аппарата |
| Пектины, пищевые волокна, клетчатка | Адсорбенты, притягивающие и накапливающие на своей поверхности шлаки, токсины, вредные минеральные соединения, а затем выводящие их из организма |
| Жиро- и водорастворимые витамины | Катализируют биосинтез полезных веществ, укрепляют защитные силы, мобилизуя организм на борьбу с патологиями опорно-двигательного аппарата |
| Микро- и макроэлементы(марганец, цинк, селен, железо, медь, кремний) | Необходимы для построения, обновления, регенерации всех суставных структур (гиалиновых хрящей, костей, синовиальных сумок и их оболочек) и связочно-сухожильного аппарата |
| Аминокислоты, холин | Участвуют в иннервации, обеспечивают передачу нервных импульсов, являются участниками метаболических и катаболических процессов |
Предварительная подготовка
Чтобы выведение вредных минеральных солей, шлаков, токсинов, продуктов распада тканей прошло без осложнений, проводится подготовка организма к процедурам. Если ею пренебречь, то в лучшем случае очищение не даст результата. Но велика вероятность проблем с желудочно-кишечным трактом, расстройства перистальтики и пищеварения. Как представители народной медицины рекомендуют подготовиться к оздоравливающим мероприятиям:
- за неделю до начала процедур следует исключить из рациона продукты с высоким содержанием жиров, соли, специй. Это копчености, полуфабрикаты, колбасные изделия, сало, маргарин;
- при отсутствии противопоказаний (сердечно-сосудистые патологии, ОРВИ, острые воспалительные процессы) 2-3 раза в течение недели посетить баню. Под воздействием горячего влажного пара происходит выведение из организма вредных веществ;
- ежедневно употреблять не менее 2 л жидкости — негазированной воды, травяных чаев, настоя шиповника;
- нормализовать физическую активность для снижения образования свободных радикалов — одной из причин ухудшения трофики и повреждения тканей.
Этих рекомендаций следует придерживаться и во время чистки суставов, независимо от ее продолжительности. Больные патологиями опорно-двигательного аппарата, особенно 1 и 2 степени тяжести, ежедневно принимают различные лекарственные средства. Чтобы не ослабить их фармакологические действия, необходимо употреблять рис через час после приема препаратов.
Похожие статьи








