Что такое импиджмент-синдром плечевого сустава: симптомы, диагностика, методы лечения
В медицине импиджмент-синдромом называют патологическое соударение суставных поверхностей костей, формирующих плечевой, тазобедренный, голеностопный или другой крупный сустав. Патология вызывает защемление суставных структур, сильные боли и ухудшение трудоспособности. Со временем у многих больных в пораженном суставе развивается деформирующий остеоартроз.
Импинджмент-синдром – это одно из распространенных заболеваний плечевого сустава. Патология чаще всего встречается у людей старше 40 лет. Пациенты с импиджментом жалуются на появление болей в плече без видимой причины. Неприятные ощущения у них возникают при поднятии верхней конечности, принудительных движениях руками над головой и лежании на «больной» стороне тела.
Немного анатомии
Чтобы понять механизм развития болезни, нам нужно разобраться с особенностями строения плечевого сустава. Он образован двумя структурами: головкой плечевой кости и акромионом лопатки. Сама по себе акромиальная суставная впадина неглубокая, а плечевой сустав плохо укреплен связками. Все это обеспечивает хорошую подвижность руки. С другой стороны, из-за этого происходит большинство вывихов плеча.
По краю акромиальной впадины сустава располагается суставная губа, охватывающая головку плечевой кости. Снаружи плечелопаточное соединение окружено мышечными сухожилиями, которые формируют вращательную манжету. Она вплетается в синовиальную капсулу, выполняет укрепляющие и поддерживающие функции. Эта структура чаще всего ущемляется при импиджмент-синдроме.
Непосредственно над плечелопаточным соединением находится ключично-акромиальный сустав, клювовидный отросток лопатки и клювовидно-акромиальная связка. Эти структуры образуют так называемую «крышу» плеча, под которой располагается субакромиальное пространство.
Что такое импиджмент плечевого сустава
Импиджмент-синдром – это аномальное соударение акромиального отростка лопатки и головки плеча при движениях в верхней конечности. Болезнь возникает из-за патологического сужения субакромиального пространства. К последнему может приводить деформация костей или увеличение объема мягких тканей при бурсите плеча и кальцинирующем тендините.
Причиной патологии становится мышечный дисбаланс, вызывающий изменения траектории движения головки плечевой кости. Это приводит к захвату мягких тканей и их дальнейшей травматизации.
Типы импиджмент-синдрома:
- Субакромиальный (наружный). Характеризуется ущемлением вращательной манжеты плеча. Со временем в ней развиваются дегенеративные изменения.
- Внутренний. Сопровождается защемлением или разрывом суставной губы, расположенной по краю акромиальной впадины.
В большинстве случаев у пациентов выявляют субакромиальный импичмент синдром плечевого сустава. По статистике, повреждения ротационной манжеты можно обнаружить более чем у 30% лиц старше 70 лет. Внутренний импиджмент в клинической практике встречаются редко. Его выявляют у спортсменов. По статистике, импиджмент-синдром правого плечевого сустава встречается чаще, чем левого.
Характерные симптомы заболевания
Клинические признаки болезни специфичны и позволяют поставить правильный диагноз в 90% случаев. Пациенты с импиджмент-синдромом жалуются на появление болей во время поднятия и опускания руки. Неприятные ощущения беспокоят их при надевании верхней одежды, резких движениях плечом, освоении новых видов спорта и т. д.
Поначалу болевой синдром слабо выражен и не доставляет больному видимого дискомфорта. Однако со временем боль усиливается, что приводит к уменьшению амплитуды движений в плечевом суставе. У многих пациентов развивается субакромиальный бурсит – воспаление суставной сумки, расположенной под «крышей» плеча.
Таблица 1. Диагностические тесты, помогающие выявить заболевание
|
Тест |
Особенности проведения |
Причины появления боли при выполнении теста |
| Тест Хокинса | Больного просят выполнить переднее сгибание плеча и слегка повернуть руку кнутри | Сужение субакромиального пространства между большим бугорком плечевой кости и клювовидно-акромиальной связкой |
| Знак Нира | Одной рукой врач фиксирует лопатку, а второй – поднимает руку и вращает ее кнутри | Соприкосновение большого бугорка с так называемой «крышей» плечевого сустава |
| Болезненная дуга | Пациента просят поднять вверх прямую руку. Боль должна появиться на 60-120 градусах | Ударение головки плеча о структуры, расположенные над плече-лопаточным сочленением |
| Тест тревоги | Специалист аккуратно отводит руку человека, слегка поворачивая ее наружу | Разрыв или отрыв суставной губы, которая находится в полости плечевого сустава |
Появление болезненных ощущений при поднятии конечности на 160-180 градусов указывает на повреждение ключично-акромиального сустава. Патологию не следует путать с плечевым импиджментом.
Методы диагностики
Сначала врач осматривает пациента и проводит диагностические тесты. На основе клинических симптомов он может поставить предварительный диагноз. Однако для его подтверждения необходимы дополнительные методы исследования.
Тест Нира
Суть теста заключается в субакромиальном введении местного анестетика (Новокаин, Лидокаин). Манипуляцию выполняют с соблюдением всех правил асептики. Исчезновение болей после инъекции косвенно указывает на импиджмент-синдром.
УЗИ
Ультразвуковое исследование позволяет выявить ассоциированные с импиджментом изменения в мягких тканях. Это характерное для бурсита утолщение стенок суставной сумки и скопление в ее полости выпота. У многих больных обнаруживают патологические изменения сухожилий. На УЗИ они проявляются их повышенной эхогенностью и утолщением.
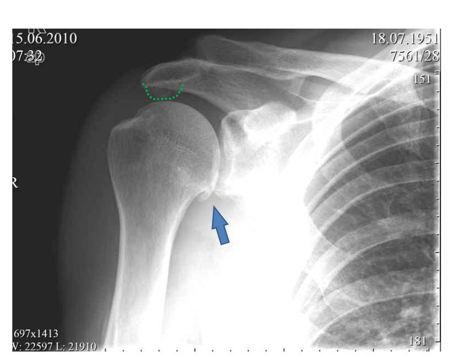
Рентгенография
Необходима для визуализации костных структур плечевого сустава. С помощью рентгенологического исследования врачи оценивают состояние клювовидно-акромиальной связки, акромиально-ключичного сустава и плечелопаточного соединения. При импиджменте специалисты выявляют децентрацию головки плечевой кости, патологические изменения большого бугорка, оссификацию связок и признаки артроза плечевого сустава.
Таблица 2. Диагностически значимые показатели при импиджменте
| Форма акромиона | Акромиальный отросток лопатки может иметь плоскую, изогнутую или крючкообразную форму. Особенности строения акромиона в значительной мере определяет вероятность развития импиджмент-синдрома |
| Критический угол плеча (CSA) | Характеризуется наклоном плечевого сустава и степенью его покрытия акромиальным отростком. Вероятность развития импиджмента повышается при угле более 35 градусов |
| Акромогумеральный индекс (AI) | Высчитывается по формуле AI = GA/GH, где GA – расстояние от поверхности акромиальной впадины до латеральной поверхности акромиона, а GH – расстояние до латеральной поверхности головки плеча. Импиджмент-синдром чаще всего развивается у лиц с высоким акромогумеральным индексом |
МРТ
Магнитно-резонансная томография позволяет оценить состояние всех мягких тканей плечевого сустава (вращательной манжеты, мышц, суставной капсулы и сумки). Естественно, это дает врачу необходимые для постановки диагноза сведения. Чувствительность МРТ при плечевом импиджменте — довольно высокая (92-93%), однако из-за высокой цены этот метод используют редко.
Лечение импичмент-синдрома плечевого сустава
Четких критериев выбора метода лечения импиджмента пока что не существует. Однако консервативную терапию чаще всего применяют в первые 3-6 месяцев болезни. Поскольку на начальных стадиях у больного отсутствуют значительные повреждения мягких тканей, врачам удается добиться улучшения с помощью лекарственных средств и физиотерапии.
При неээфективности консервативного лечения или длительном течении болезни человеку требуется операция. Перед хирургическим вмешательством врачи тщательно обследуют пациента и согласовывают с ним все необходимые детали.
Консервативное лечение
В первую очередь, врачи советуют больным максимально ограничить движения в больном плече. При ярко выраженном болевом синдроме пациенту могут временно надевать косыночную повязку. Больной носит ее по несколько часов в день.
Методы консервативной терапии:
- нестероидные противовоспалительные средства. Для борьбы с болью пациентам на протяжении 1-2 недель вводят лекарства из группы НПВС. Клинические исследования подтвердили, что они обеспечивают гораздо лучший эффект, чем плацебо;
- инъекции кортизона. Введение кортикостероидов особенно эффективно в первые 8 недель. Оно помогает быстро купировать боль и улучшить подвижность плеча. Кортизон вводят в мягкие ткани рядом с сухожилиями, но не в сами сухожилия;
- физиотерапия. Больным назначают тепловые процедуры, лекарственный электрофорез, массаж и специальные упражнения. Все это помогает быстрее справиться с болью и увеличить объем движений в плече;
- ударно-волновая терапия. Используется при кальцинирующем тендините. Низкоэнергетичные ударные волны дробят отложившиеся в сухожилиях соли кальция, облегчая боль и способствуя выздоровлению.
Реабилитация при импиджмент-синдроме
Хирургическое лечение
По статистике, в операции нуждается около 30% больных с импиджмент-синдромом. В большинстве случаев хирургическое вмешательство позволяет полностью излечить патологию. Существует ряд факторов, наличие которых значительно повышает вероятность неудачного исхода лечения.
Предикторы неблагоприятного исхода операции:
- тяжелая атрофия или жировое перерождение мышц;
- повреждение более двух сухожилий;
- предоперационное расстояние между акромионом и головкой плечевой кости менее 7 мм;
- нарушение наружной ротации конечности.
Сегодня золотым стандартом лечения импиджмента считается субакромиальная декомпрессия в комплексе с бурсэктомией. В ходе хирургического вмешательства врач удаляет передне-нижнюю и нижне-боковую части акромиона, выполняет резекцию клювовидно-акромиальной связки. Вместе с этим он иссекает воспаленную субакромиальную сумку.
К неудачному исходу операции может привести неправильная постановка диагноза, неадекватное определение показаний или технические ошибки во время хирургического вмешательства.
Похожие статьи








